Павел Александров, основатель Ex-In
Первый раз выгорел в 2015 году. У меня было несколько бизнесов: региональная сеть фитнес-клубов, свой бар, компания по разработке ПО и консалтинг заводов. В общей сложности примерно 100 человек, с кем постоянно нужно было общаться – ставить и проверять задачи.
За две недели нашел я помещение и включился в ремонт. Клуб открыли примерно за месяц, а потом еще доделывали все по этапам. После окончания ремонта я две недели не разговаривал с людьми и восстанавливался. Эта ошибка могла стоить мне 15 миллионов рублей.
Сейчас я развиваю конструктор воронок продаж и сайтов. Мой рабочий день полностью не нормирован: случается вести работу с раннего утра до поздней ночи, потому что мы постоянно проводим вебинары для клиентов. Продукт быстро совершенствуется, а вебинары позволяют делать делиться новостями.
Каждый человек, уезжая в отпуск, меняет привычное поведение: больше свежего воздуха – мозг переключается в режим восприятия, потому что нужно запоминать маршруты и локации. Почти во всех поездках радостью для меня были море и прогулки. Так я стал ходить в Москве пять-шесть раз в неделю плавать и практически отказался от езды на машине.
Внутреннее состояние изменилось целиком за месяц – появилось больше поводов радоваться жизни. Этой практикой стали пользоваться у нас в офисе. Каждый нашел любимое занятие: кто-то гуляет, кто-то на вокал ходит в обед. День получается разделенным, и всем легче коммуницировать.
Эмоциональное выгорание: решение проблемы
Эмоциональное выгорание — это коварная и неприятная проблема. Специалисты всегда твердят, что от СЭВ нет иммунитета, поэтому лучше предотвратить проблему, чем её решать. Для того чтобы восстановиться важны два момента – это полноценный отдых и полное воздержание от работы
Чтобы добиться максимального результата, важно забыть обо всём минимум на 14 дней
Что такое личность
Прежде чем вбрасывать мобильный телефон и ежедневник, важно подумать и написать от руки в блокноте, что является первопричиной эмоционального выгорания. Можно сделать это с кем-то из близких людей, таким образом, появится возможность проговорить проблему ещё раз в устной форме
Эмоциональное выгорание никогда не будет беспокоить, если соблюдать важные правила. Есть ряд простых рекомендаций, которые помогут сохранить как моральное, так и физическое здоровье, научиться контролировать свою жизнь:
- Нельзя работать без выходных. Нужно выделять хотя бы один день в неделю для полноценного отдыха.
- Придерживаться самостоятельно разработанного режима дня.
- Заниматься спортом или хотя бы 1 час в день гулять на свежем воздухе.
- Полноценный сон не менее 8 часов.
- Записаться на массаж.
- Научиться ставить приоритеты, планировать свой день.
- Не реагировать на критику окружающих, не быть слишком самокритичным.
- Найти хобби и вспомнить о своих увлечениях, которые помогают расслабиться и погрузиться в творчество.
- Не нужно стараться следовать чьим-то ожиданиям.
- Медитация поможет восстановить душевное равновесие.
- Не стоит бояться ошибиться.
Что делать для профилактики выгорания
- Чётко сформулировать долгосрочные и краткосрочные цели.
- Стимулировать тайм-ауты сотрудников: выгонять их в отпуск, уменьшать количество авралов, переработок и т. д.
- Стимулировать профессиональное развитие сотрудников. Им нужен челлендж. И в условиях размеренной разработки, когда процессы выстроены, челлендж взять вроде как неоткуда. Тем не менее даже сотрудник, посетивший обычный митап, может принести глоток свежего воздуха в коллектив.
- Уходить от ненужной конкуренции. Горе тому руководителю, который сталкивает лбами своих подчинённых. Например, говорит двоим, что они оба являются кандидатами на должность его заместителя. Или на внедрение нового фреймворка: кто покажет себя лучше, тот и получит лакомый кусочек. Ни к чему, кроме подковёрных игр, такая практика не приведёт.
- Давать обратную связь. Я даже не имею в виду формальный митинг один на один, на котором вы, собравшись с мыслями и прочистив горло, пытаетесь рассказать сотруднику, что он сделал хорошо, а что — плохо. Зачастую даже простое человеческое спасибо — это то, чего так не хватает. Лично я предпочитаю неформальное общение в неформальной обстановке и считаю, что это гораздо эффективнее формальных митингов по регламенту.
Становиться неформальным лидером
Как я уже говорил, это очень важно, гораздо важнее и круче, чем формальное лидерство. Часто у неформального лидера даже больше власти и методов влияния, чем у формального.
Знайте ваших сотрудников: кто чем увлекается, у кого какие хобби и семейные отношения, когда у кого день рождения.
Создавайте позитивную среду — это залог творческой работы
Занимайтесь саморекламой, показывайте всем, какие крутые вещи вы делаете.
Не забывайте, что ваши сотрудники — это прежде всего люди со своими достоинствами и недостатками.
Потребность в экспертной помощи в области психического здоровья
В значительной степени выгорание можно предотвратить, получая профессиональное психиатрическое лечение. Оно дает людям инструменты, ресурсы и направление для эффективного управления стрессом, повышения устойчивости и улучшения психического здоровья.
Выгорание часто вызвано стрессом, связанным как с личными, так и с профессиональными проблемами. Тем, кому нужна помощь в понимании и управлении этими сложными отношениями, следует обратиться за профессиональной психиатрической помощью. Люди могут поделиться своими чувствами, тревогами и опасениями в безопасной и свободной от осуждений обстановке с помощью консультантов или психологов.
Работа с профессионалом также может помочь в выявлении нездоровых механизмов выживания, которые люди могут невольно использовать, таких как переутомление, игнорирование заботы о себе или избегание социальных ситуаций. Специалисты по психическому здоровью могут указать людям на здоровые навыки выживания, такие как внимательность, расслабление и когнитивные поведенческие методы.
Корпорации могут работать со специалистами в области психического здоровья, чтобы создать рабочие места, поддерживающие психическое здоровье. Они могут проводить курсы по управлению стрессом, обучать менеджеров ранним предупреждающим признакам выгорания или помогать им создавать поддерживающие политики и процедуры.
В заключение, профессиональная поддержка психического здоровья имеет решающее значение, даже несмотря на то, что индивидуальные и организационные усилия могут помочь избежать эмоционального выгорания и справиться с ним. Профессиональная помощь необходима во всеобъемлющей стратегии борьбы с выгоранием из-за сложности проблемы и ее способности вызывать серьезные психические расстройства.
Выявление ранних симптомов эмоционального выгорания сотрудников
Раннее выявление выгорания сотрудников имеет важное значение для упреждающего вмешательства и предотвращения. Эти ранние предупреждающие индикаторы часто принимают форму скромных изменений в характере, производительности или поведении
Заметное изменение уровня энергии сотрудника является одним из типичных признаков. Они могут казаться более измученными, чем обычно, иметь проблемы с концентрацией внимания или с трудом выполнять работу по дому, которую раньше выполняли легко. Эта постоянная усталость может снизить производительность и увеличить количество ошибок, снижая общий стандарт выполнения задачи.
Изменения в отношении — еще один симптом надвигающегося выгорания. Некогда полный энтузиазма и целеустремленный сотрудник может проявлять признаки цинизма, отстраненности или отсутствия энтузиазма. Они могут казаться менее вовлеченными в командную деятельность, равнодушными к коллегам или сопротивляющимися полезной критике.
Внезапное снижение производительности сотрудника может указывать на выгорание. Они могут испытывать сложности с вещами, с которыми раньше справлялись хорошо, срывать сроки или делать посредственную работу.
Наконец, работники могут выразить свое недовольство своей работой или компанией. Это может происходить в ходе неофициальных дискуссий, групповых собраний или запланированных сеансов обратной связи. Такое изменение отношения может указывать на надвигающееся выгорание и требует немедленного уведомления и действий.
Прежде чем выгорание усугубится, может быть полезно устранить эти ранние предупреждающие симптомы. Вмешиваясь в нужное время, вы поддерживаете пострадавшего сотрудника и помогаете обеспечить безопасность и продуктивность рабочего места.
Как понять, что проблема выгорания сотрудников есть в вашей компании
Признаки эмоционального выгорания:
- Существенно меняется поведение – наступает апатия или скука, сотрудник начинает часто опаздывать, может периодически вообще не выходить на работу.
- Меняется мышление – появляется чёрствость, неоправданное чувство вины, снижается концентрация внимания и т.д.
- Ухудшается здоровье и самочувствие – появляются жалобы на качество сна, повышается утомляемость, снижается иммунитет и аппетит, появляются беспричинные головные боли.
Признаки профессионального выгорания (стресса):
- Снижается работоспособность.
- Появляется хроническая усталость.
- Увеличивается количество ошибок.
- Появляются различные страхи, боязнь перемен (тревожность).
- Раздражительность.
- Полностью отсутствуют инициативы и снижается энтузиазм.
- Наступает разочарование в работе и прослеживается постоянный пессимистический настрой.
- Возникает безразличие к происходящему.
Как правило, сотрудники не могут самостоятельно определить, что у них появились указанные выше проблемы. Но всё это хорошо видно со стороны.
И именно руководитель должен своевременно отслеживать негативные тенденции среди своих подчинённых и предпринимать конкретные шаги для их устранения. Выявлять стресс у нижестоящих управленцев должны вышестоящие руководители.
Далее о том, какие организационные приёмы и стратегии позволят уменьшить выгорание сотрудников.
▍ Как реализуется текучка кадров
выгодна
- Людей заманивают бонусами и опционами, но не дают их: чтобы получить бонус или опцион, нужно отработать несколько лет, но человека специально увольняют раньше.
- Программа стажировок, после которой с интернами прощаются. Можно для вида оставлять 1–2% самых талантливых стажёров, создавая видимость трудоустройства.
- Сокращения штата якобы из-за кризиса.
- Уменьшение зарплаты или отказ от ежегодной индексации зарплаты на уровне инфляции (10%), что аналогично её сокращению де-факто. Это мягкая мера по выталкиванию старых сотрудников из компании, принуждение к увольнению по собственному желанию.
- Жёсткий график работы, штрафы за опоздания, соблюдение KPI и рабочих показателей, постоянный мониторинг и потогонка. Идея в том, чтобы выжать из человека максимальную производительность труда на короткой дистанции, а затем заменить его свежим.
амазонификациягодовым показателем текучки кадров 111%
- Тейлоризм или «научное управление» — дегуманизирующая система работы на фабрике, изобретённая инженером-механиком Фредериком Тейлором. Система разбивает сложное производство на маленькие повторяющиеся задачи. В производство вводятся менеджеры — эксперты, ответственные за выработку наилучшего способа выполнения этих задач, а к рабочим относятся как к абсолютно бездумным, заменяемым винтикам. «Amazon — это пример ультра-тейлоризированной компании», — говорит Нельсон Лихтенштейн (Nelson Lichtenstein), директор Центра изучения работы, труда и демократии при Калифорнийском университете в Санта-Барбаре.
- Конвейер (движущаяся сборочная линия) впервые массово внедрили на автомобильных заводах Форда. Инновация увеличила монотонность работы и темп, а также текучку кадров. В 1914 году Форду пришлось почти удвоить дневную зарплату до $5 в попытке остановить отток рабочей силы.
Как правильно уволить сотрудника, который не справляется со своей работой?
Если вы сомневаетесь, надо ли увольнять сотрудника или нет, попробуйте такой метод. Дайте ему последний шанс. Сформулируйте конкретное задание, результаты которого можно измерить. Обозначьте четкий срок. Выберите форму письменного контроля, составьте отчетный бланк, куда сотрудник будет ежедневно заносить результаты. Задание должно быть достаточно коротким – на неделю, максимум две. Обозначьте ежедневную норму, или конкретные ежедневные дела, которые надо выполнить. Например, за две недели найти трех клиентов, при этом каждый день делать 30 звонков и пять встреч. Это позволит сотруднику самому видеть свои результаты и … уволиться. Либо остаться, чтобы нормально работать.
Способ жестокий. С одной стороны, он каждый день держит сотрудника под прессом. С другой стороны, способ гуманный, потому что он обучает сотрудника. Возможно, вы не объяснили что-то, не организовали работу, поэтому результата нет. Эти две недели все покажут. Бывают случаи, когда сотрудник старается две недели, а потом, когда такого жесткого контроля нет, снова садится «на попу». Поэтому после окончания эксперимента выставите контрольные показатели и регулярно проверяйте их. В случае рецидива – не медлите. Выбора у вас уже нет.
Важно: если сотрудник не справился с заданием, не дотянул даже 0,01 процента, его необходимо уволить. Это будет хороший урок руководителю – не брать на работу не того сотрудника, не ставить нереальных задач, держать слово
Это и упрощает ситуацию: ведь решение уже не надо принимать. Результат может быть только один – либо справился и тогда остается, либо не справился, и тогда уходит.
Что сказать сотруднику при увольнении?
Говорите кратко. Не надо мучить ни себя, ни человека. Поблагодарите за работу. Вот примерный текст: «Виктор, вам лучше поискать другую работу, где вы сможете лучше раскрыть себя. Большое спасибо за работу». Иногда сотрудник начинает упираться и спрашивать: «А чем конкретно я не подхожу? Я исправлюсь. Дайте мне шанс, у меня было мало времени»
Важно не вступать в дискуссии, а закончить разговор, дать понять, что ваше решение окончательно и обсуждению не подлежит
Эмоциональное выгорание: причины развития СЭВ
Среди причин, способствующих развитию эмоционального выгорания, следует выделить две – это род деятельности и личностные характеристики человека.
Наиболее подвержены СЭВ люди с высоким уровнем эмпатии, эмоциональные, сочувствующие, которые часто пропускают события «через своё сердце»
Кроме того, важно насколько человек удовлетворён работой, зарплатой, отношениями в коллективе. Немаловажным является способность «перерабатывать» и отпускать негативные эмоции
Что касается сферы занятости, то наиболее часто эмоциональное выгорание встречается у тех, кому приходится часто и подолгу иметь личный контакт с большим количеством людей и постоянной отдачей собственных ресурсов. Сюда можно отнести такие профессии:
- учитель;
- практический психолог;
- психотерапевт;
- социальные и медицинские работники;
- тренера;
- полицейские;
- сотрудники МЧС;
- работники call-центров.
Труд этих людей связан с высоким уровнем психоэмоционального напряжения, интенсивным общением, дестабилизирующей обстановкой. Однако современный бешеный ритм жизни может стать причиной развития СЭВ и у представителей других профессий
Кроме того, влияет фактор непонимания важности работы, отсутствие ожидаемого результата, поддержки и мотивации
Максим Спиридонов, генеральный директор «Нетология-групп»
Я руковожу средним бизнесом, поэтому мой рабочий день, как у любого управленца, заполнен встречами. Переговоры за пределами офиса стараюсь переносить на утро или вечер, чтобы избежать траты времени на дорогу. Хотелось бы укладываться в будни, но сейчас у меня такой возможности нет.
В выходные стараюсь работать менее напряженно. Например, в будний день количество рабочих встреч и звонков варьируется от восьми до 12, а в выходные я минимизирую их до двух-четырех.
С выгоранием впервые я столкнулся 12 лет назад. Проект, которым я тогда руководил, был на грани катастрофы, и мне приходилось активно действовать, чтобы изменить ситуацию. В четыре-пять утра мозг включался в работу и больше не хотел засыпать, даже если была такая возможность. Помогла схема периодического отдыха.
Считаю, что идеальная продолжительность встречи – 50 минут. А оставшиеся 10 минут до следующего созвона дают возможность перезагрузиться.
Чем опасна для компании коррозия?
Коррозия – явление разрушительное, и несет в себе много пагубных аспектов для организации. Приведу пять основных примеров негативного влияния коррозии:
1. Текучка кадров, в том числе ценного квалифицированного персонала.
2. Дестабилизация производственных процессов компании.
3. Рост недоверия сотрудников к руководителю предприятия.
4. Низкий уровень мотивации и желания персонала трудиться во благо предприятия.
5. Отсутствие командного духа в коллективе.
Негативное влияние коррозийных сотрудников очень велико. В запущенном виде этот недуг может привести предприятие к фатальным последствиям.
Признаки эмоционального выгорания – как отличить от болезни или плохого настроения
Психологи утверждают, что синдром эмоционального выгорания на работе – еще не болезнь. Это сигнал того, что работник близок к умственному и физическому истощению.
Это — переходное состояние между плохим настроением и психическим расстройством.
Его симптомами являются:
- Бессонница, мигрени, усталость, которая приводит к потере эффективности на работе.
- Пренебрежение и равнодушие к людям, с которыми вынужден взаимодействовать. Это могут быть как коллеги, так и клиенты (ученики).
- Низкий уровень самооценки, неудовлетворенность собственными результатами и достижениями.
Все это приводит к длительному стрессу, сменяющемуся полной утратой интереса к работе, равнодушием к жизни окружающих людей.

Признаки эмоционального выгорания
Состояние эмоционального выгорания можно распознать по следующим признакам:
- постоянное чувство усталости и опустошенности;
- потеря мотивации, интереса и эмоциональной вовлеченности в рабочие задачи, чувство безразличия, апатия;
- избегающее поведение, несвойственные опоздания, дистанцирование от коллег;
- чувство профессиональной несостоятельности;
- недовольство собой и своей работой, снижение самооценки, чувство вины;
- частые нарушения сна, головные боли;
- проблемы с концентрацией, памятью;
- чувство беспомощности, проблемы с принятием решений;
- трудности в выполнении привычных задач;
- исчезновение желания и/или интереса к привычным любимым занятиям, хобби.
Когда в компании качественно выстроена работа с коррозийными сотрудниками
Важно вовремя выявить коррозию и не пускать этот процесс на самотек. Нельзя давать ей разрастаться и разрушать коллектив
С коррозией нужно работать: проверять, анализировать, контролировать, требовать. Это имеет хороший положительный эффект для компании:
— Заметно увеличивается производительность труда.
— У некоторых работников появляется возможность получить более высокие позиции и реализовать себя в профессии.
— Улучшается психоэмоциональное состояние персонала, командный дух.
— Появляются новые идеи и проекты.
— Уходят застойные явления из отдельно взятого отдела и даже предприятия в целом.
— У работников появляется энергия для реализации своего потенциала во благо компании.
Эмоциональное выгорание: причины
Эмоциональное выгорание может возникать не только из-за особенностей работы и личностных характеристик человека. Существует ряд других не менее важных факторов, способствующих развитию СЭВ:
- монотонный и однообразный характер деятельности;
- постоянный интенсивный труд;
- регулярные проявления грубости и нетактичности со стороны начальства;
- отсутствие конкретно поставленных целей, задач, планов;
- отсутствие материального поощрения;
- присутствие чувства ненужности;
- критика, частые ссоры, конфликты с руководством и коллегами;
- высокий уровень тревожности и гиперответственности;
- перфекционизм.
Мария Фикссон, дизайнер и основатель бренда одежды Fiksson
Я просыпаюсь в восемь утра, готовлю завтрак, танцую, после сажусь за работу. У меня широкий функционал: от задумки вещи, разработки, контроля производства до контента, бухгалтерии и ведения блога. Кроме того, у меня сейчас идет процесс выхода книги, поэтому много работаю с издательством.
Тогда я попросила мужа взять часть моих задач, чтобы я «оттаяла». Минимизировала общение с людьми и сделала упор на сон, отдых, вкусную еду и сессии с психологом. Ушел примерно год и два месяца, но я до сих пор в процессе восстановления.
На собеседовании определить потенциального сотрудника с выгоранием очень просто. Такие люди жалуются на предыдущих работодателей и раздраженно говорят, что работают строго по графику. Я никого мучить не собираюсь, но сразу видно, что что-то не так.
Как распознать выгорание?
Для диагностики выгорания в международной среде длительное время используется методика MBI (Maslach Burnout Inventory). Она включает в себя 22 утверждения о чувствах и переживаниях, связанных с работой, и для каждого из них предлагается 6 градаций оценки — от «никогда» (0 баллов) до «ежедневно» (6 баллов). По итоговой сумме баллов определяется состояние опрашиваемого: деперсонализация, редукция профессионализма (попытка сократить эмоциональные контакты на работе — прим. ред.) или профессиональное истощение.
В российской практике для диагностики синдрома эмоционального выгорания был разработан тест В. Бойко, состоящий из 84 вопросов, на которые нужно ответить «да» или «нет». В. Бойко выделяет три фазы синдрома эмоционального выгорания: напряжение, резистенция и истощение, и тест помогает определить, в какой фазе находится и находится ли индивид.
О появлении выгорания у работников можно узнать из HR-анализа: об этом скажут высокая текучесть кадров и снижение показателей эффективности как одного подразделения, так и компании в целом. Эффективным методом также будет проведение регулярных опросов на выявление признаков СЭВ у сотрудников.
Помимо тестов и опросов, выгорание можно определить с помощью медицинской диагностики. С помощью электроэнцефалограммы (ЭЭГ) регистрируют четыре основных периодических ритма головного мозга, характеризующие разные состояния.
- альфа ритм — состояние спокойного бодрствования;
- бета-ритм — состояние активного бодрствования (напряжённая умственная деятельность) и глубокого сна;
- дельта- и тета-ритм — медленный сон и эмоциональные реакции на негативные ситуации.

Маркером наличия выгорания являются нарушения в отображении «спокойного» альфа-ритма — его уменьшение/отсутствие или нестандартный вид. Это может свидетельствовать о постоянной гиперактивности мозга и процессов, отвечающих за эмоции.
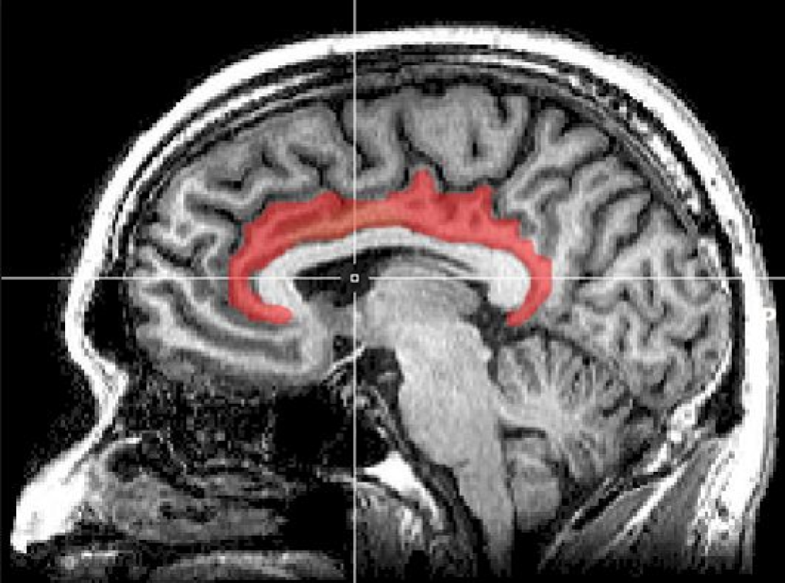
Магнитно-резонансная томография (МРТ) — ещё один вид диагностики, позволяющий идентифицировать синдром выгорания. За эмпатию, эмоциональную регуляцию и распознавание эмоций отвечает лимбическая система мозга (миндалевидное тело, гиппокамп, гипоталамус и поясная извилина). Соответственно, уменьшение активности в этих областях, отслеживаемое на МРТ, может служить маркером выгорания.
Поясная извилина — часть лимбической системы (снимок с МРТ)
При выявлении у себя или у кого-то из своего окружения признаков выгорания правильно будет обратиться (посоветовать обратиться) к психологу или психотерапевту. Поскольку само по себе выгорание не является психическим расстройством, оно не лечится медикаментозно — здесь важна именно работа над собой.
Что является причиной коррозии команды?
Это явление провоцируют сотрудники (один или несколько работников, если это группа, то действуют или сообща, или друг против друга), которые, как правило:
— Занимают некие руководящие должности, подчиняются генеральному директору.
— Имеют в подчинении сотрудников.
— Всегда в хороших отношениях с руководителем организации.
— Отличаются сложным характером, обидчивы, любят интриги, сплетни, склоки, скандалы.
— Сталкивают работников друг с другом в рабочих процессах.
— Не любят нести ответственность.
— Не любят работать, и часто за них трудятся их подчиненные.
— Часто непрофессиональны и недостаточно квалифицированы в своей трудовой сфере.
— Всегда действуют в своих интересах и не любят отвечать за свой персонал.
— Любят действовать тихо и незаметно.
Что такое выгорание?
Синдром эмоционального выгорания относительно недавно, в 2019 году, был включен в Международную классификацию болезней (МКБ). Данная классификация приводит такое определение:
«Эмоциональное выгорание — это синдром, вызванный состоянием хронического стресса на рабочем месте, который не был успешно преодолен. Три характеризующих его признака:
- ощущение психологического или физического истощения;
- нарастающее психическое дистанцирование от профессиональных задач, чувство негативизма или цинизма к рабочим задачам и обязанностям;
- заметное снижение работоспособности.
Эмоциональное выгорание лежит непосредственно в профессиональном контексте и не должно распространяться на опыт из других сфер жизни».
Исследования показывают, что около четверти сотрудников испытывают чувство выгорания практически постоянно, и еще около 44% процентов — время от времени. Получается, что примерно две трети сотрудников подвержены этой проблеме. Осложняет ситуацию то, что такое деструктивное состояние организма оказывает влияние не только на профессиональную сферу, но и на личную жизнь. Также синдром может привести к физическим или психосоматическим заболеваниям.
В этой статье мы не будем углубляться в симптоматику и классификации стадий выгорания, а рассмотрим причины этого состояния и конкретные превентивные действия, которые может предпринять менеджер, чтобы предупредить ситуации выгорания сотрудников. Ниже кратко рассмотрим признаки и причины, затем перейдем к рекомендациям.
Причины профессионального выгорания
Существует множество факторов риска профессионального выгорания и прочих психологических расстройств на рабочем месте, которые вкупе негативно влияют на психологическое состояние работников. ВОЗ выделила основные причины, наиболее часто ведущие к профессиональному выгоранию и другим психологическим расстройствам, отрицательно влияющим на производительность труда .
Факторы риска профессионального выгорания:
- Нечеткая постановка задач.
- Размытые критерии эффективности.
- Отсутствие возможности влиять на результат в своей зоне ответственности.
- Отсутствие необходимых ресурсов для выполнения поставленных задач.
- Искусственные ограничения на возможность принимать решения.
- Отсутствие поддержки или слабая поддержка на работе.
- Притеснения и разные формы психологического насилия.
- Отсутствие гибкого графика при наличии объективной необходимости в таковом.
Это, напомним, основные факторы риска, выделяемые ВОЗ. В уже упомянутом исследовании компании Gallup указывается на другие достаточно веские причины выгорания. Среди них, в частности, неконтролируемая нагрузка, недостаточная зарплата, неоправданные цейтноты, изначальное отсутствие четко прописанных ролей и обязанностей на работе .
В российских реалиях ко всему вышеперечисленному следует добавить постоянные отвлекающие факторы, мешающие работникам сосредоточиться, и нагрузки сверх нормы . Кроме того, негативное влияние на психическое здоровье россиян оказывает «стресс больших городов» и навязанный глянцем «культ успешности».
Россия по историческим меркам сравнительно недавно узнала, что такое «культ успешности», поэтому далеко не все искренне стремящиеся соответствовать трендам граждане смогли адекватно «переварить» эту информацию и понять, что хорошее здоровье и разумный баланс семьи и карьеры – это тоже составляющие жизни успешного человека.
В итоге у многих сверхсознательных товарищей развивается синдром гиперответственности, когда они готовы отвечать чуть ли не за восход солнца на востоке и закат на западе, и твердое убеждение, что они должны много (точнее, непрерывно) работать, чтобы никого не подвести и что-то доказать людям, которым они, в общем-то, глубоко безразличны.
Есть и другие когнитивные искажения в восприятии такого явления как профессиональное выгорание. В нашей ментальности принято считать, что
эмоциональное и профессиональное выгорание свидетельствуют об усердии, самоотверженности и работника. Интересно, что такое восприятие отлично сосуществует с прямо противоположным отношением, которое предполагает, что «выгорать» могут лишь изначально незаинтересованные в работе и результате люди, а настоящие профессионалы всегда в тонусе по определению .
И, наконец, риск профессионального выгорания может нести сама специфика деятельности. Так, профессиональное выгорание педагогов, врачей и работников МЧС встречается намного чаще, чем, к примеру, профессиональное выгорание библиотекарей, музейных смотрителей и младших научных сотрудников НИИ.
Что же теперь делать и можно ли как-то избежать профессионального выгорания? Да, но при условии, что профилактике профессионального выгорания работников будут уделять внимание и работодатели, и сами работники
Если вы поняли, что находитесь сейчас на одной из стадий выгорания, сделайте следующее:
- Добавьте в каждый свой день минимум час отдыха. Можно даже рассказать руководству, что вы ощущаете приближение выгорания: грамотный начальник без вопросов даст вам отгул.
- Планируйте разгрузку. Чтобы не выгореть, главное — беречь себя. Обязательно закладывайте время для остановки и разгрузки в свой напряженный график, рекомендует Елена Резанова, карьерный консультант и автор книги «Никогда-нибудь. Как выйти из тупика и найти себя». Заранее планируйте все приятное: перед тем, как расписать дела на неделю, укажите в ежедневнике, когда будете дарить себе перерывы, кофе с друзьями, что будете делать в уикэнд. Это все равно что заправить автомобиль бензином — если этого не сделать, он не поедет.
- Между большими блоками интеллектуального труда вписывайте что-то медитативное или физическое — прогулки, рисование, лепку из глины, да тот же ремонт. Сначала все это будет разовым спасением, а затем станет системой по приведению себя в порядок.
- Не старайтесь насытить полезными делами свои свободные минуты и часы. Позвольте себе просто полежать на диване или в ванне, посмотреть кино, поболтать по телефону.
- Подключите посильный спорт — но без фанатизма и рекордов! Хорошо сработают плаванье, йога, пилатес, прогулки на воздухе, сауна, контрастный душ.
- Удалите с телефона приложения соцсетей или поставьте ограничитель времени пребывания в них. Временно не заходите в мессенджеры и почту.
Попробуйте фрирайтинг. Каждый, кто трудится в информационном поле, должен периодически устраивать «генеральную уборку» в собственной голове. Кому-то поможет поход к психологу, а кому-то фрирайтинг. Одна из его методик — так называемое потоковое письмо: оно позволяет выгрузить все, что на душе. Просто пишешь без остановки и без всякой внутренней критики и ощущаешь, как становится легче!
Второй тип фрирайтинга — диалог. Он спасет, если вы столкнулись с руминацией. Это ситуация, когда в голове крутится навязчивая и удручающая мысль. Такие думы съедают много душевных сил и энергии — и все это тоже ведет к выгоранию.
Поэтому разделите лист бумаги на две части. В одной запишите свою навязчивую мысль, например «Мне не судьба выступать перед аудиторией — не умею». В другой дайте себе логичный ответ: «У меня бывали всякие выступления. Но у каждого публичного человека есть хейтеры».
Последствия эмоционального выгорания
Все последствия указаны ещё в стадиях развития СЭВ. Но можно дать более конкретный ответ.Доказано негативное влияние «выгорания» на соматическое здоровье. Повышается риск развития ишемической болезни сердца.Социальные последствия синдрома эмоционального выгорания следующие: ухудшается качество выполнения работы, утрачивается творческий подход к решению задач, увеличивается число конфликтов на работе и дома, частые прогулы, наблюдается переход на другую работу, смена профессии. Растет число профессиональных ошибок. Следует отметить, что люди, испытывающие выгорание, имеют негативное влияние на своих коллег, так как способствуют большему количеству межличностных конфликтов, а также срывают рабочие задания. Таким образом, выгорание может быть «заразным» и распространяться через неофициальные взаимодействия на работе.Синдром эмоционального выгорания также имеет негативное влияние на личную жизнь людей. Это может возникать из-за того, что после эмоционально насыщенного дня, проведенного с клиентами или пациентами, человек испытывает потребность уйти на некоторое время от всех людей, и это желание одиночества обычно реализуется за счет семьи и друзей.Синдром эмоционального выгорания может осложниться депрессивным, тревожным расстройством, зависимостями от психоактивных веществ, психосоматическими заболеваниями, суицидом. Последствия проявляются в различных сферах:потребность в употреблении психоактивных вещество данным исследования компании Regus, 53% офисных работников во всем мире близки к выгоранию. У работников в сфере медицины и образования этот показатель ещё выше.Из поставленной цели следуют выводы:
- Главной причиной возникновения считается психологическое, душевное переутомление. Когда требования (внутренние и внешние) длительное время преобладают над ресурсами (внутренними и внешними), у человека нарушается состояние равновесия, которое неизбежно приводит к СЭВ.
- Нездоровый стресс — один из механизмов эмоционального выгорания, особенно когда он затяжной.
- Синдром эмоционального выгорания характеризуется выраженным сочетанием симптомов нарушения в психической, соматической и социальной сферах жизни. Наличие тех или иных симптомов определяет тип и степень выгорания. Однако все вместе они ни у кого не проявляются одновременно, потому что выгорание — процесс сугубо индивидуальный.
- Надо отметить, что эмоциональное «выгорание» – процесс довольно коварный, поскольку человек, подверженный этому синдрому часто мало осознает его симптомы. Он не может увидеть себя со стороны и понять что происходит. Поэтому он нуждается в поддержке и внимании, а не конфронтации и обвинении.
- Предотвратить выгорание можно путём самоанализа. Например, работать в сферах, которые вам интересны, подчёркивать значимость своих достижений и тд.
Еще в 2014 году некоторые бельгийские работодатели внесли «выгорание на работе» в число страховых случаев, наряду с насилием или буллингом на рабочем месте. А в 2016 году Бельгия одной из первых стран признала выгорание профессиональной травмой. В некоторых европейских странах, например, Германии, Голландии, Испании, выгорание также считается поводом для оплачиваемого больничного. Это говорит об актуальности изучения синдрома эмоционального выгорания, а также значимости знаний в современной жизни.
Эмоциональное выгорание: выводы
Эмоциональное выгорание — это не приговор и некритическая болезнь, которая не подлежит лечению. Всё же берегите своё здоровье и не нужно винить себя, если что-то не получается или не выходит сделать работу в срок
Важно осознать, что человек не всесилен и собственное здоровье значит намного больше, чем все срочные дела
Каждый человек может стать жертвой СЭВ, а потому внимательно относитесь к рабочему графику и дням для отдыха. В нынешнее время ритм жизни очень быстрый, но не следует пренебрегать своим здоровье. Желаем читателям познакомиться с термином эмоциональное выгорание только в статье, но не в жизни.




























